2025年4月17日木曜日

インビザライン症例

こんにちは。ワイズ・デンタルクリニックです。

そろそろゴールデンウィークの時期ですね。

どのように過ごすか、

予定はお決まりでしょうか。


新生活の疲れが溜まりがちなこの時期ですが、

五月病にならないよう、

上手にストレスを発散していきましょう。


さて今回は、

インビザラインの症例をご紹介します。


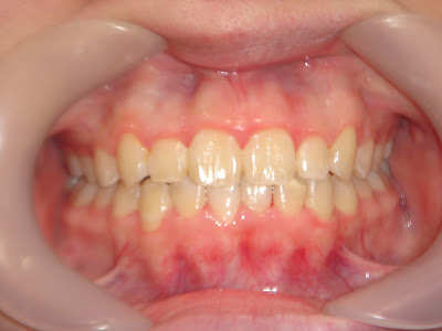
矯正前


矯正後




矯正前



矯正後



矯正によって歯並びが綺麗になったため、

どちらの方からも

とてもお喜びいただけました。


ちなみにインビザラインとは

透明なマウスピースを用いた

歯列矯正のことです。


従来の金属のワイヤーを入れる矯正と違って

審美性に優れており、

金属アレルギーの心配もありません 。


当院でもお取り扱いをしておりますので、

ご興味のある方は

気軽にご相談にいらしてください。





.:*:'゜.:*:'゜.:*:'゜.:*:・'゜.:*:・'゜.:*:・'゜ 

ワイズ・デンタルクリニック
〒185-0003
東京都国分寺市戸倉 4-46-31
TEL:042-326-9096